Featured Post

Get Rado 636.O313.3 Price In Karachi

45+ Hamate Bone Fracture Treatment PNG

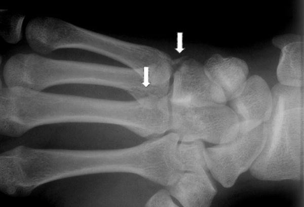
45+ Hamate Bone Fracture Treatment PNG. The hamate bone is a triangular bone located in the distal carpal row situated on the ulnar side of the hand. Just like any other bone in the body, the carpal bones can be fractured when they experience abnormal stress or trauma.

What Is The Hamate Bone With Pictures
What Is The Hamate Bone With Pictures from images.wisegeek.com
What is a bone fracture? Bone fracture is a condition where bone breaks down due to an accident, injury or excessive force. The hamate is an irregularly shaped carpal bone found within the hand.

The hamate bone is a triangular bone located in the distal carpal row situated on the ulnar side of the hand.

Bone fracture is a condition where bone breaks down due to an accident, injury or excessive force. Hamate fractures are uncommon compared with scaphoid and distal radius fractures but, like these, often occur from a fall onto an outstretched hand.this topic w. A splint or cast that prevents movement is usually all that is needed unless there are other parts of the leg that are also injured. The most common treatment, especially for an athlete, is to surgically remove the broken hook of the hamate.

Comments